Smiles Gallery
We love to see our patients smile! Here are some of our best before-and-after pictures,
all in
one fantastic Smile Gallery

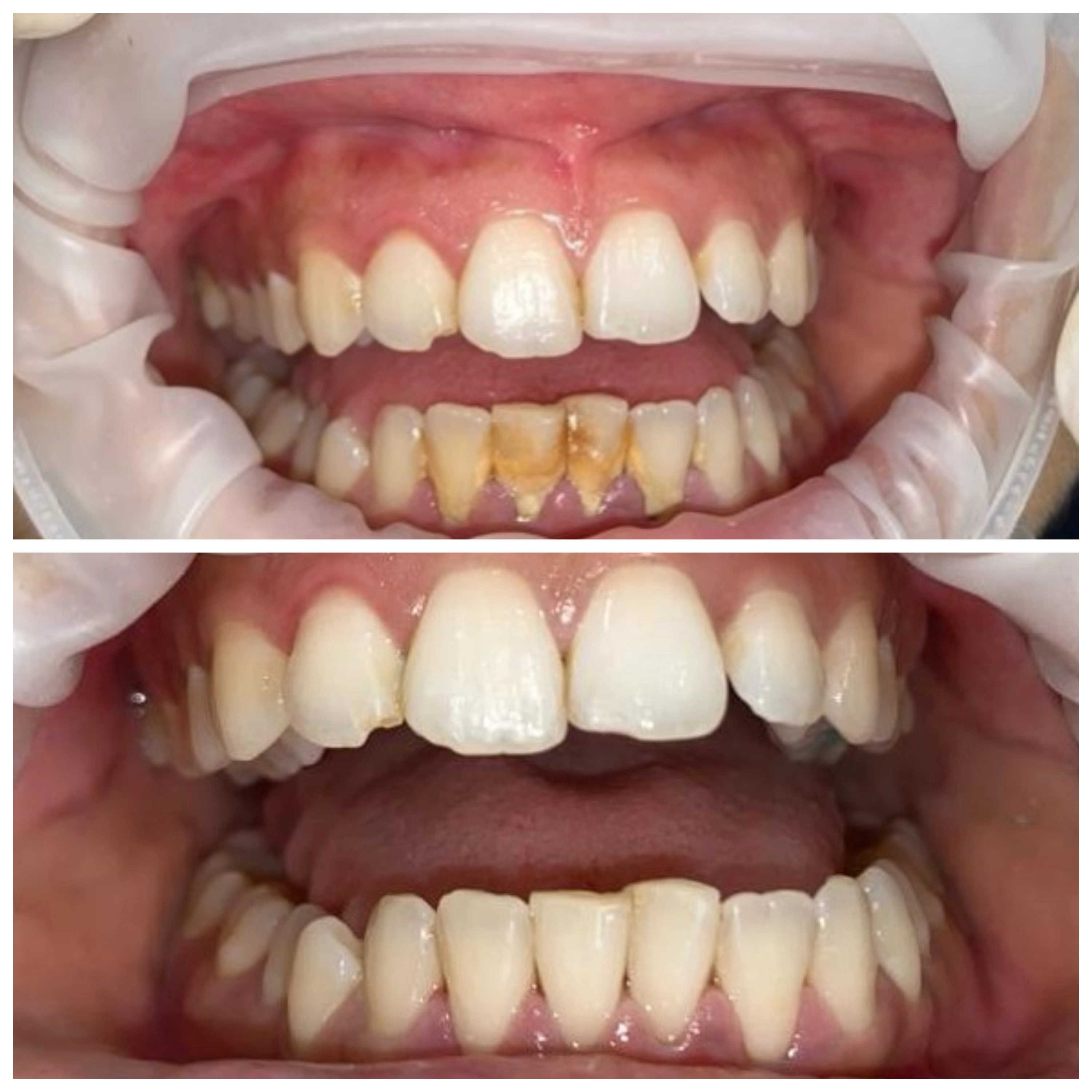
Anterior Composite
Anterior composite is a tooth-colored resin material used for cosmetic dental work on front teeth
Dentist: Dr. Saurav Srivastava

Dentures
Dentures are removable dental prosthetics used to replace missing teeth and restore oral function.
Dentist: Dr. Vrinda Sharma

Fibroma
A fibroma is a benign, non-cancerous tumor or growth composed of fibrous or connective tissue.
Dentist: Dr. Saurav Srivastava

Lower Anterior Bridge
A lower anterior bridge is a dental prosthetic that replaces missing front teeth on the lower jaw, restoring function and aesthetics.
Dentist: Dr. Vrinda Sharma

Multiple Unit Bridge
A multiple unit bridge is a dental prosthesis that replaces multiple missing teeth by anchoring to adjacent natural teeth or dental implants.
Dentist: Dr. Saurav Srivastava

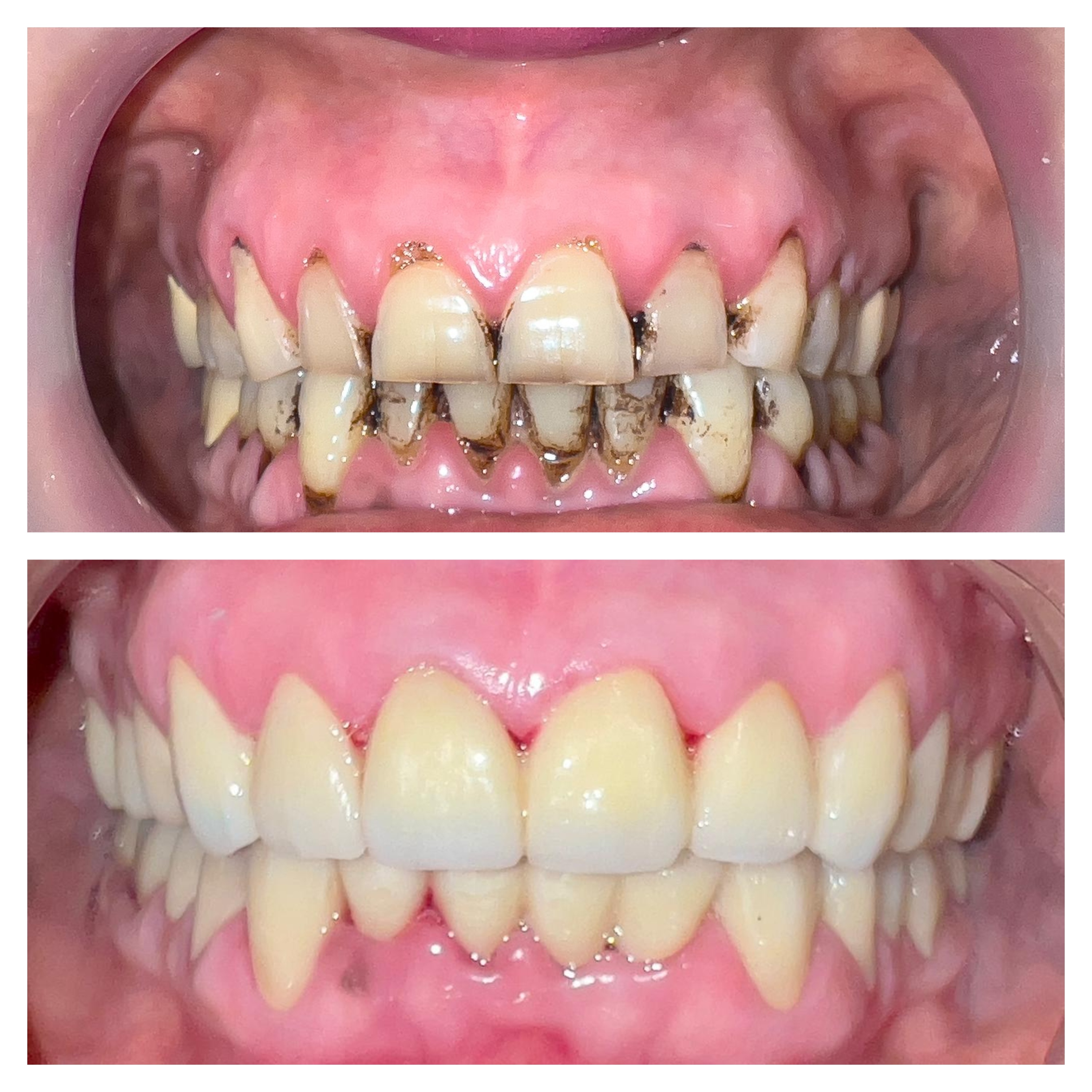
Scaling
Scaling is a dental procedure that involves the removal of plaque and tartar from the teeth to prevent gum disease and maintain oral health.
Dentist: Dr. Vrinda Sharma

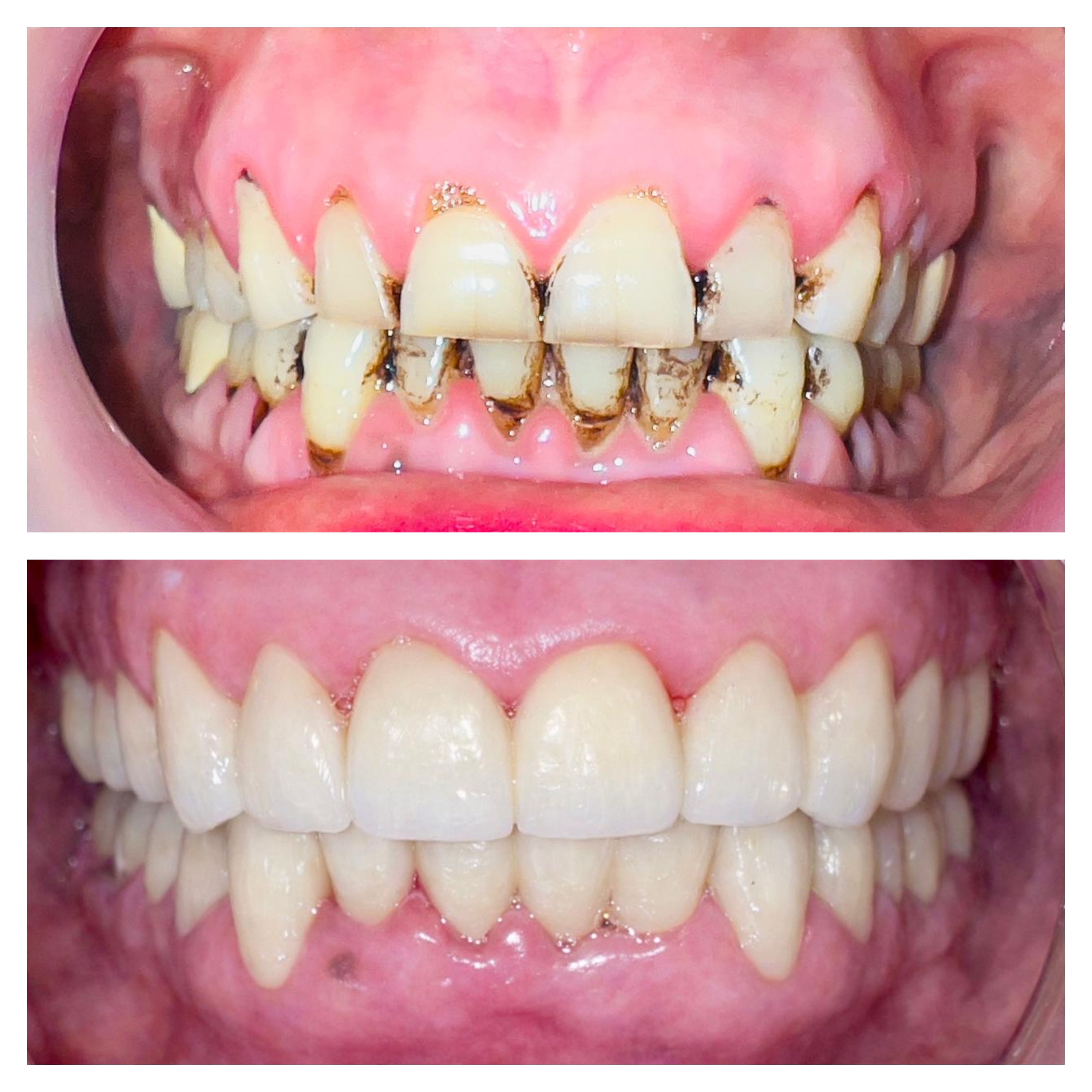
Scaling
Scaling is a dental procedure that involves the removal of plaque and tartar from the teeth to prevent gum disease and maintain oral health.
Dentist: Dr. Vrinda Sharma

Single Anterior Crown
A single anterior crown is a dental restoration that covers and protects a single front tooth for both cosmetic and functional purposes.
Dentist: Dr. Saurav Srivastava

Single Crown
A single crown is a dental restoration that covers and protects a single tooth, often used for strengthening and improving its appearance.
Dentist: Dr. Vrinda Sharma

Veneers
Veneers are thin, custom-made shells of porcelain or composite resin that are bonded to the front surface of teeth to enhance their appearance and correct minor imperfections.
Dentist: Dr. Saurav Srivastava